





At Southwater Dental Practice, we pride ourselves on providing high-quality dental care that helps manage, maintain, and celebrate your smile. Any treatments and their associated costs will be discussed with you by your dentist at your examination appointment.
X rays may also be required as part of a new patient examination or existing patient examination
These treatments include routine and complex dental treatments such as crowns, filling, veneers, root canal treatment and extractions
The price of the white (composite) filling material differs depending on the size and location of the filling.
There is an additional cost for the permanent filling/ crown after the root canal treatment.
There is an additional cost for the permanent filling/crown after the root canal treatment.
There is an additional cost for the permanent filling/crown after the root canal treatment.
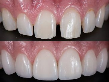
These tare treatments which are designed to improve the colour, texture and appearance of your teeth to help you achieve your dream smile or to enhance your current one.
Using modern techniques and materials we are able to make comfortable dentures which discreetly replace any lost teeth
If you’re interested in one of the above services, don’t hesitate to get in touch with us! We’re here to make you smile with confidence!
DaysDays
HrsHours
MinsMinutes
SecsSeconds
If you’re interested in one of the above services, don’t hesitate to get in touch with us! We’re here to make you smile with confidence!
Southwater Dental Practice
Station Road, Southwater, Horsham, RH13 9HQ, United Kingdom